BIOLOGISCHE ZAHNMEDIZIN
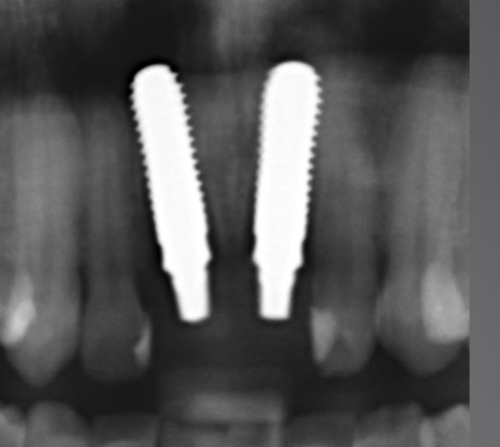
IMPLANTATE AUS KERAMIK
Vorteile: natürliche Ästhetik, Biokompatibilität, Langlebigkeit, Stabilität, Zahnfleischfreundlichkeit und Knochenfreundlichkeit.
Seit mehr als 15 Jahren verwenden wir in der Tagesklinik ausschließlich Implantate aus Keramik.
HEALTH & EMOTION bedeutet auch: Mehr Gesundheit und mehr Leistungsfähigkeit durch metallfreie Implantate.
- Natürliche Ästhetik: Implantate aus Keramik sehen aus wie natürliche Zähne und harmonieren perfekt mit dem restlichen Gebiss. Sie bieten eine ästhetisch ansprechende Lösung für den Zahnersatz.
- Biokompatibilität und Allergiefreiheit: Keramikimplantate sind biokompatibel, was bedeutet, dass sie gut vom Körper vertragen werden. Im Gegensatz zu Metallimplantaten verursachen sie keine allergischen Reaktionen oder Unverträglichkeiten.
- Langlebigkeit und Stabilität: Implantate sind äußerst haltbar und können bei guter Pflege ein Leben lang halten. Sie bieten eine stabile Grundlage für Zahnprothesen, Kronen oder Brücken und gewährleisten so eine zuverlässige Funktion.
- Zahnfleischfreundlichkeit: Implantate aus Keramik zeichnen sich durch ihre zahnfleischfreundlichen Eigenschaften aus. Sie verursachen keine Reizungen oder Entzündungen des Zahnfleischs und fördern so eine optimale Mundgesundheit.
- Knochenfreundlichkeit: Implantate aus Keramik unterstützen den Knochenabbau nicht. Im Gegenteil, sie fördern die Knochenintegration und stimulieren das Knochenwachstum, was langfristig die Stabilität des Kieferknochens gewährleistet
Sie sehen gerade einen Platzhalterinhalt von YouTube. Um auf den eigentlichen Inhalt zuzugreifen, klicken Sie auf die Schaltfläche unten. Bitte beachten Sie, dass dabei Daten an Drittanbieter weitergegeben werden.
Mehr InformationenSie sehen gerade einen Platzhalterinhalt von YouTube. Um auf den eigentlichen Inhalt zuzugreifen, klicken Sie auf die Schaltfläche unten. Bitte beachten Sie, dass dabei Daten an Drittanbieter weitergegeben werden.
Mehr InformationenBIOLOGISCHE ZAHNMEDIZIN
Keramikimplantate
Vorteile: natürliche Ästhetik, Biokompatibilität, Langlebigkeit, Stabilität, Zahnfleischfreundlichkeit und Knochenfreundlichkeit.
Seit mehr als 15 Jahren verwenden wir in der Tagesklinik ausschließlich Implantate aus Keramik.
HEALTH & EMOTION bedeutet auch: Mehr Gesundheit und mehr Leistungsfähigkeit durch metallfreie Implantate.
- Natürliche Ästhetik: Implantate aus Keramik sehen aus wie natürliche Zähne und harmonieren perfekt mit dem restlichen Gebiss. Sie bieten eine ästhetisch ansprechende Lösung für den Zahnersatz.
- Biokompatibilität und Allergiefreiheit: Keramikimplantate sind biokompatibel, was bedeutet, dass sie gut vom Körper vertragen werden. Im Gegensatz zu Metallimplantaten verursachen sie keine allergischen Reaktionen oder Unverträglichkeiten.
- Langlebigkeit und Stabilität: Implantate sind äußerst haltbar und können bei guter Pflege ein Leben lang halten. Sie bieten eine stabile Grundlage für Zahnprothesen, Kronen oder Brücken und gewährleisten so eine zuverlässige Funktion.
- Zahnfleischfreundlichkeit: Implantate aus Keramik zeichnen sich durch ihre zahnfleischfreundlichen Eigenschaften aus. Sie verursachen keine Reizungen oder Entzündungen des Zahnfleischs und fördern so eine optimale Mundgesundheit.
- Knochenfreundlichkeit: Implantate aus Keramik unterstützen den Knochenabbau nicht. Im Gegenteil, sie fördern die Knochenintegration und stimulieren das Knochenwachstum, was langfristig die Stabilität des Kieferknochens gewährleistet
Metallfreie IMPLANTATE TREFFEN BIOLOGISCHE ZAHNMEDIZIN
The next generation: Im Juni 2018 durfte Dr. Scholz auf einem internationalen Kongress in Valencia im Rahmen seines Workshops Ganzheitliche Zahnmedizin und Keramikimplantate einer Legende in der Zahnmedizin und einem Pionier für Keramikimplantate, Prof. Sami Sandhaus, das HEALTH & EMOTION CONCEPT der Tagesklinik Konstanz vorstellen. In seinen Augen haben wir damit metallfreie Keramikimplantate mit dem Fokus auf die Gesundheit alternativlos gemacht.
Prof. Sami Sandhaus war ein Pionier der Implantologie und Entwickler von Keramik-Implantaten. Bereits 1960 setzte Sandhaus sein erstes metallfreies Implantat. Seine Lehre und die Forschungstätigkeit sowie die praktische Arbeit in seiner Zahnarztpraxis waren der oralen Implantologie gewidmet.
DR. HOLGER SCHOLZ & DIE TAGESKLINIK AUF INSTAGRAM
> 30
Berfufserfahrung
5000
VERSORGUNGEN
von Zähnen durch
metallfreie Implantate
aus Keramik
> 15
JAHRE
Tagesklinik Konstanz
15 – 20
MITARBEITER
in einem nachhaltigen und erfüllenden Umfeld
Health & Emotion
GANZHEITLICHES KLINIK-KONZEPT
Die Tagesklinik Konstanz hat sich im Laufe der Jahre von einem
Anlaufpunkt für keramische Implantologie und metallfreie
Zahnmedizin zur integrativen Klinik für Umweltmedizin und
Umweltzahnmedizin weiterentwickelt. Das Konzept der
integrativen Zahnmedizin wurde hier wesentlich geprägt und
verbessert. Im Laufe der Jahre wurden Protokolle für den
sofortigen Ersatz von nicht erhaltungswürdigen Zähnen durch
metallfreie Keramikimplantate etabliert und viele andere
biologische Therapien integriert.
ERFAHRUNGEN
INTEGRATIVES KLINIK-KONZEPT
Die Tagesklinik Konstanz hat sich im Laufe der Jahre von einem Anlaufpunkt für keramische Implantologie und metallfreie Zahnmedizin zur integrativen Klinik für Umweltmedizin und Umweltzahnmedizin weiterentwickelt. Das Konzept der integrativen Zahnmedizin wurde hier wesentlich geprägt und verbessert. Im Laufe der Jahre wurden Protokolle für den sofortigen Ersatz von nicht erhaltungswürdigen Zähnen durch metallfreie Keramikimplantate etabliert und viele andere biologische Therapien integriert.
30
Berfufserfahrung
5000
VERSORGUNGEN
Von Zähnen durch
metallfreie Implantate
aus Keramik
15
JAHRE
Tagesklinik Konstanz
15 – 20
MITARBEITER
In einem nachhaltigen und erfüllenden Umfeld